8. November – Tag der Radiologie

Am Jahrestag der Entdeckung der Röntgenstrahlen wird weltweit der Tag der Radiologie gefeiert.
Er würdigt die Bedeutung des Gebiets für die medizinische Versorgung. Zudem wird die Arbeit der Fachleute, die in diesem Bereich tätig sind, hervorgehoben.

2025-10-31, 13:20

Am Jahrestag der Entdeckung der Röntgenstrahlen wird weltweit der «International Day of Radiology» gefeiert. Mittlerweile feiern fast 200 Gesellschaften den Tag, der 2012 als gemeinsame Initiative der amerikanischen und europäischen Gesellschaft für Radiologie eingeführt wurde. Sie würdigen so den wertvollen Beitrag, den Radiolog*innen, Radiologiefachpersonen sowie weitere Mitarbeitende der Radiologie täglich leisten.

 

Der Tag geht zürück auf eine zufällige Entdeckung: Am 8. November 1895 experimentierte der Physiker Wilhelm Conrad Röntgen mit elektrischen Ladungen und blickte plötzlich auf die Knochen seiner Hand – mittels einer unbekannten Art von Strahlen.

 

Röntgens «X-Strahlen» ermöglichten zum ersten Mal einen Blick ins Innere des Körpers, ohne operieren zu müssen. Dies revolutionierte die Medizin und ist bis heute unverzichtbar. 

 

Der 8. November ist auch am USB Thema: Plakate und Fahnen machen auf den Tag aufmerksam. Zudem gibt es eine Website mit Infos zur Radiologie und Nuklearmedizin. 

 

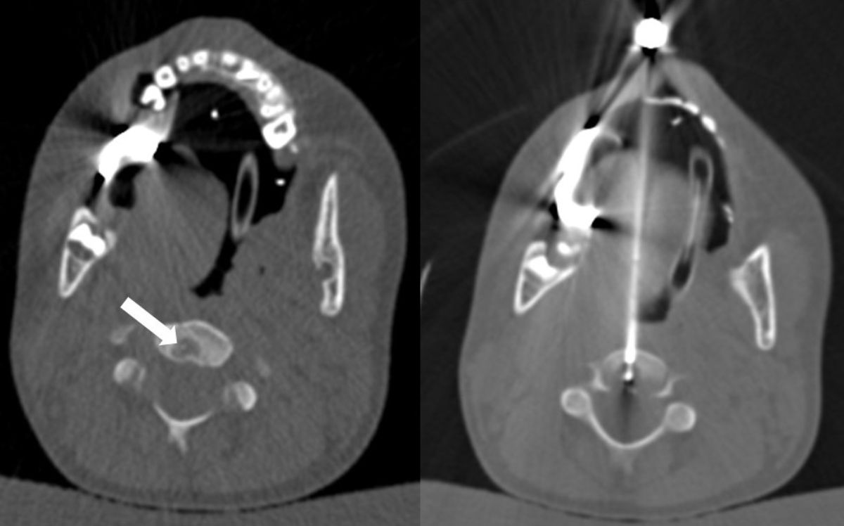
Auch die Radiofrequenzablation wird vorgestellt. Dank dem modernen Verfahren konnte kürzlich ein äusserst schmerzhafter Knochentumor im 2. Halswirbel eines 6-Jährigen zielsicher und schonend mit Radiowellen (hochfrequente elektrische Energie bzw. Strom) behandelt werden. Noch vor einigen Jahren wäre eine Operation mit grossen Risiken verbunden gewesen. Dank der Möglichkeiten der modernen Bildgebung war der kleine Patient bereits am Folgetag des minimalinvasiven Eingriffs schmerzfrei.

Tag der Radiologie

Tag der Radiologie am Unispital Basel

Computertomografie der erfolgreichen Radiofrequenzablation des Osteoidosteoms des jungen Patienten.

Computertomografie der erfolgreichen Radiofrequenzablation des Osteoidosteoms des jungen Patienten.